Do nietypowego zdarzenia doszło, gdy cierpiący na katar sienny mężczyzna prowadził samochód. W pewnym momencie poczuł przemożną potrzebę kichnięcia, ale zamiast gwałtownie wypuścić powietrze z płuc, zacisnął nos i zamknął usta. To był poważny błąd, bo okazało się, że w ten sposób wyrwał sobie niewielką dziurę w tchawicy. To pierwszy znany przypadek na świecie, który opisano w czasopiśmie BMJ Case Reports, który powinien być przestrogą dla innych.
Kichnięcie doprowadziło do urazu tchawicy – pierwszy przypadek na świecie
Jeśli podczas kichania usta i nos są zamknięte, ciśnienie wytwarzane w górnych drogach oddechowych może przekroczyć ponad 20 razy więcej niż normalnie powstające podczas kichania. W przypadku opisywanego mężczyzny ciśnienie było tak duże, że w tchawicy powstał otwór o wymiarach 2 mm na 2 mm.
Czytaj też: Ludzie, którzy nie widzą twarzy. 8 najdziwniejszych chorób w historii medycyny
Kiedy pacjent trafił na oddział ratunkowy w Ninewells Hospital w Dundee, odczuwał silny ból, miał spuchniętą szyję po obu stronach i nie mógł nią ruszać. W trakcie osłuchiwania mężczyzny, lekarze wykryli słaby, trzaskający dźwięk. Nie miał on jednak żadnych problemów z oddychaniem, połykaniem czy mówieniem.
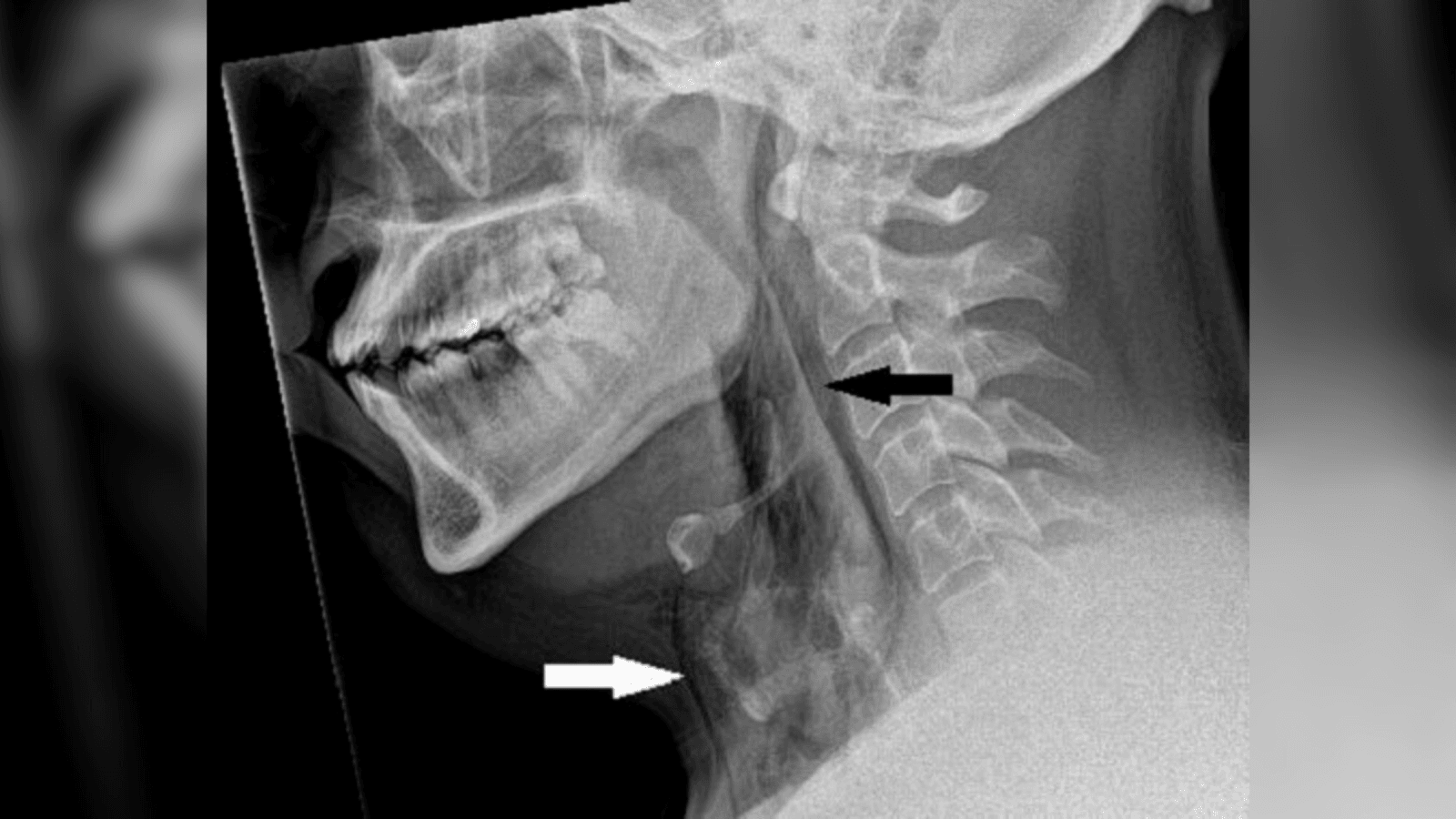
Prześwietlenie szyi wykazało, że pacjent cierpiał na odmę, czyli rozedmę podskórną. Jest to stan, kiedy w tkance podskórnej znajdują się pęcherze powietrza – zwykle ma to miejsce w klatce piersiowej, szyi lub twarzy. Leczenie odmy zazwyczaj nie jest konieczne, gdyż powietrze samoistnie się wchłania. Tomografia komputerowa (CT) wykazała, że rozdarcie znajdowało się między kręgami szyjnymi.

Lekarze nie mieli wątpliwości, że rozerwanie tkanek było spowodowane “gwałtownym wzrostem ciśnienia w tchawicy podczas kichania z zaciśniętym nosem i zamkniętymi ustami”.
Mężczyzna, u którego doszło do tak rzadkiego urazu, nie potrzebował operacji, ale przez dwa dni był na obserwacji w szpitalu, aby wykluczyć ryzyko powikłań i upewnić się, że poziom tlenu jest na właściwym poziomie. Uzbrojony w leki przeciwbólowe i leki przeciwalergiczne został wypisany do domu. Lekarze zalecili mu również, aby przez 2 tygodnie nie forsował się pod kątem aktywności fizycznej. Rutynowa tomografia komputerowa wykonana 5 tygodni później wykazała, że tchawica całkowicie się wygoiła.
Czytaj też: Tajemnicza choroba ręki dotyka tylko nielicznych. Jej źródło nie pochodzi od Homo sapiens
Mimo iż opisywany pacjent odniósł lekkie obrażenia, lekarze, którzy opisali ten przypadek twierdzą, że powinien być on przestrogą dla innych. Nie powinno się tłumić kichania podczas ściskania nosa i zamykania ust, bo może to spowodować perforację tchawicy.
Spontaniczne rozdarcie tchawicy jest rzadkie, ale potencjalnie śmiertelne. Zgłoszono tylko kilka przypadków, a są one zwykle spowodowane urazem fizycznym lub urazami po zabiegu medycznym, takim jak chirurgiczne usunięcie tarczycy lub tracheotomia. W zależności od tego, gdzie znajduje się rozdarcie i jakie są parametry życiowe pacjenta, konieczna może być operacja, aby naprawić uszkodzenie.

