Zabiegi wewnątrzmaciczne (in utero) nie są niczym nowym, a ich historia sięga lat 80. ubiegłego wieku. Przeprowadza się je coraz częściej także w Polsce, choć tylko w kilku ośrodkach. Ich główne założenie to zapobieganie uszkodzeniom rozwijającego się organizmu na jak najwcześniejszym etapie życia i niedopuszczenie do powstania nieodwracalnych szkód czynnościowych i strukturalnych. W ten sposób nie da się skorygować każdej wady, choć zakres zabiegów systematycznie rośnie.
Czytaj też: To dopiero druga taka operacja na świecie. Przeprowadzili ją Polacy
Do jednych z najczęściej wykonywanych należą tzw. procedury igłowe, czyli wszelkiego rodzaju amnioredukcje (pobieranie płynu owodniowego w przypadku wielowodzia) i amnioinfuzje (wprowadzanie roztworów płynów w przypadku małowodzia). Chirurgia prenatalna jest w stanie skorygować także przepuklinę oponowo-rdzeniową, będącą konsekwencją rozszczepu kręgosłupa, niektóre wady serca (np. ciężkie zwężenie zastawki płucnej lub aortalnej), a także dysfunkcje układu moczowego (np. uropatię zaporową). Opcji jest całkiem sporo, a wymienione to tylko niektóre ze schorzeń możliwych do skorygowania in utero.
Chirurdzy z Boston Children’s Hospital oraz Brigham and Women’s Hospital w USA zastosowali technikę chirurgiczną zwaną embolizacją, aby wyleczyć rzadki stan prenatalny – tzw. malformację żyły Galena. Sukces procedury daje nową nadzieję na leczenie tego stanu, zanim ryzyko powikłań wzrośnie. Szczegóły opisano w czasopiśmie Stroke.
Pierwsza taka operacja mózgu na świecie
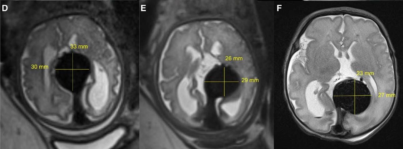
Malformacja żyły Galena (VOGM) to rzadki stan prenatalny, który wynika z nieprawidłowego rozwoju żyły wielkiej mózgu (żyły Galena). Tętnice doprowadzające krew z serca do mózgu łączą się bezpośrednio z żyłami, a nie naczyniami włosowatymi, które w przeciwnym razie kontrolowałyby przepływ krwi. Oznacza to, że krew może wywierać ogromne nacisk na serce i płuca, zwłaszcza u noworodka, po porodzie. To prowadzi do nadciśnienia płucnego, niewydolności serca lub innych stanów zagrażających życiu. VOGM jest najczęściej po raz pierwszy obserwowany na USG prenatalnym i ostatecznie diagnozowany przez MRI pod koniec drugiego lub trzeciego trymestru ciąży.
Amerykańscy chirurdzy przeprowadzili udaną wewnątrzmaciczną embolizację płodu z VOGM w 34. tygodniu i drugim dniu ciąży. To pierwsza taka operacja in utero na świecie.

Prof. Darren B. Orbach, dyrektor Centrum Chirurgii i Interwencji Naczyniowych Mózgu w Boston Children’s Hospital, mówi:
W naszym trwającym badaniu klinicznym zastosowaliśmy embolizację przezmaciczną pod kontrolą USG w celu usunięcia żyły Galena przed porodem. Z przyjemnością informujemy, że po sześciu tygodniach niemowlę rozwija się niezwykle dobrze, nie przyjmuje żadnych leków, normalnie je, przybiera na wadze i wróciło do domu. Nie ma oznak jakiegokolwiek negatywnego wpływu na mózg.
Echokardiografia po urodzeniu wykazała postępującą normalizację pojemności minutowej serca. W opisywanym przypadku noworodek nie wymagał żadnego wspomagania układu krążenia ani operacji po leczeniu wewnątrzmacicznym i był na obserwacji na OIOM-ie przez kilka tygodni po urodzeniu z powodu wcześniactwa. Wszelkie badania wskazują, że dziecko rozwija się prawidłowo.
Czytaj też: Światełko w tunelu. Wiemy, co robi mózg w momencie śmierci
Prof. Darren B. Orbach dodaje:
Chociaż jest to dopiero nasz pierwszy leczony pacjent, podejście to może potencjalnie oznaczać zmianę paradygmatu w leczeniu malformacji żyły Galena, w której naprawiamy wadę przed porodem oraz zapobiegamy niewydolności serca, zanim się pojawi, zamiast próbować odwrócić ją po urodzeniu. Może to znacznie zmniejszyć ryzyko długotrwałego uszkodzenia mózgu, niepełnosprawności lub śmierci tych niemowląt.
Malformacja żyły Galena jest najczęstszą wrodzoną wadą naczyniową mózgu i występuje u jednego na 60 tys. żywych urodzeń. Obecnie wadę leczy się po porodzie za pomocą embolizacji, procedury opartej na cewniku, która ma na celu zamknięcie bezpośrednich połączeń między tętnicą a żyłą i zablokowanie nadmiernego przepływu krwi do mózgu oraz serca. Zabieg taki u niemowlaka wiąże się z dużym ryzykiem i nie zawsze naprawia powstałą zmianę, która jest już na tyle poważna, że może prowadzić do rozwoju zaburzeń poznawczych i stanów zagrażających życiu dziecka, a nawet śmierci. Możliwość naprawy malformacji żyły Galena jeszcze przed porodem niewątpliwie uratuje kilka żyć więcej.

