Władze hrabstw Delta i Menominee w stanie Michigan zostały oficjalnie poinformowane o wysypie “nietypowych przypadków zapalenia płuc” wśród pracowników papierni Escanaba Billerud 28 lutego, chociaż pierwsze zachorowania pojawiły się już na początku stycznia. Testy laboratoryjne wykazały, że nie jest to “typowe” zapalenie płuc, a infekcja grzybicza zwana blastomykozą. Może ona stanowić poważne zagrożenie dla życia publicznego, ale dlaczego dotknęła tylko osoby związane z zakładem przemysłowym zajmującym się wytwarzaniem papieru?
To nie jest zwykłe zapalenie płuc
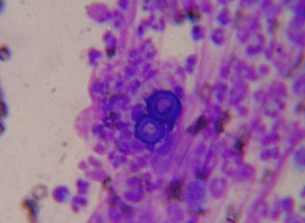
Blastomykoza, zwana także drożdżycą północnoamerykańską, to przewlekła choroba wywoływana przez grzyby należące do gatunku Blastomyces dermatitidis. Występuje endemicznie (na danym obszarze) w południowo-wschodniej i południowo-środkowej części USA, chociaż odnotowano pojedyncze przypadki w Europie, Azji i Afryce.
Czytaj też: Śmiertelny grzyb rozprzestrzenia się bez kontroli. To nie “The Last of Us” a rzeczywistość
Grzyby Blastomyces dermatitidis występują w wilgotnej glebie i rozkładającej się materii organicznej, takiej jak drewno. Zakażenie następuje poprzez wdychanie zarodników grzyba, rzadziej spotyka się pierwotną infekcję skórną.
W większości przypadków blastomykoza rozpoczyna się bezobjawowo. W końcu pojawia się kaszel, gorączka, spadek masy ciała, a finalnym etapem jest tworzenie ropni i jam w miąższu płucnym. Częstą konsekwencją jest ostre zapalenie płuc, które objawowo jest nierozróżnialne od zapalenia bakteryjnego. Pojawia się w ciągu 30-45 dni od kontaktu z grzybem. Jak w przypadku wielu infekcji, osoby z osłabionym układem odpornościowym są najbardziej zagrożone.

Michael Snyder z Public Health, Delta & Menominee Counties (PHDM) mówi:
Podczas gdy Górny Półwysep Michigan jest znanym obszarem ryzyka zakażenia blastomykozą, należy zauważyć, że te infekcje są niezwykle rzadkie. Większość ludzi, którzy wdychają zarodniki grzyba, nie zachorują.
Leczenie blastomykozy jest bardzo uciążliwe, gdyż do momentu właściwej diagnozy, grzyb jest w stanie wywołać poważne szkody w organizmie. Konieczne jest zastosowanie leków przeciwgrzybiczych, bo infekcja szybko może rozprzestrzenić się na inne narządy.
Czytaj też: Ten grzyb zabijał drzewa. Teraz zainfekował człowieka
Billerud to międzynarodowa firma papiernicza i opakowaniowa z siedzibą w Szwecji. Od momentu wybuchu epidemii w firmie uruchomiono specjalne protokoły bezpieczeństwa, m.in. maski N95 czy zalecając dogłębne czyszczenie. W Billerud jest zatrudnionych ponad 800 osób, nie wiadomo, jakie dokładnie jest źródło infekcji grzybiczej. Według CDC Blastomyces dermatitidis zwykle występuje na obszarach wokół Wielkich Jezior, a także otaczających rzeki Ohio, Missisipi i Świętego Wawrzyńca.
W ostatnich latach obserwujemy na całym świecie wzrost liczby supergrzybów, które są oporne na standardowe protokoły leczenia, podobnie jak obserwujemy to w przypadku bakterii. Zmiany klimatyczne sprawiają, ze coraz więcej środowisk jest gościnnych dla grzybów patogennych, co potencjalnie zwiększa ryzyko infekcji.

