Lucas jest pierwszym dzieckiem na świecie, które zostało wyleczone z rozlanego naciekającego glejaka mostu (DIPG). Jest to rzadka postać guza mózgu, która występuje głównie u dzieci i stanowi poniżej 10 proc. nowotworów OUN. Rocznie w Europie rozpoznaje się kilkaset, a w Polsce kilkanaście DIPG, najczęściej u dzieci w wieku 5-10 lat.
Czytaj też: Rak pokonany! W ten sposób zabito ponad 99 procent komórek nowotworowych
Diagnoza DIPG niestety jest równoznaczna z wyrokiem – lekarze stosują radioterapię jedynie w celu spowolnienia progresji choroby. Ze względu na umiejscowienie w pniu mózgu, chirurgiczne usunięcie guza nie jest możliwe, a średni czas przeżycia wynosi jedynie 9-10 miesięcy.
Dr Jaqques Grill z Gustave Roussy Institute mówi:
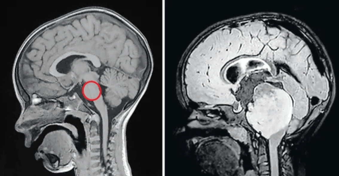
Podczas serii skanów MRI obserwowałem, jak guz całkowicie znika. Nie znam drugiego takiego przypadku na świecie, Lucas jest wyjątkowy.
DIPG to wyjątkowo rzadka postać guza mózgu – zawsze oznacza wyrok
Lucas z Belgii miał 6 lat, gdy zdiagnozowano u niego DIPG. Desperacko szukając ratunku, rodzice zabrali go do Francji, gdzie zapisali go badania BIOMEDE (Biological Medicine for DIPG Eradication).
Czytaj też: Guzy zniknęły całkowicie już po miesiącu! Immunoterapia CAR-T niszczy nowotwory, na które nie ma leku
Projekt zainicjowany w 2014 r. porównywał skuteczność trzech różnych leków przeciwnowotworowych: erlotynibu, ewerolimusu i dazatynibu. Lekarze najpierw pobrali za pomocą igły niewielki fragment guza każdego pacjenta, aby przeprowadzić biopsję i przeanalizować profil molekularny każdego nowotworu.
Na podstawie wyników biopsji, każdemu pacjentowi przypisano najodpowiedniejszy lek, pasujący pod kątem profilu samego nowotworu. Lucas był jedną z 233 osób cierpiących na DIPG, które brały udział w projekcie i był leczony ewerolimusem. Jest to inhibitor sygnału proliferacji, co oznacza, że prowadzi do zatrzymania komórek w fazie G1 cyklu komórkowego. Poza onkologią jest stosowany w transplantologii jako lek immunosupresyjny, zapobiegający odrzuceniu przeszczepu.

Siedmioro innych dzieci objętych badaniem przeżyło kilka lat od postawienia diagnozy (co jest dużym sukcesem), u Lucasa guz całkowicie zniknął. Medycyna nie zna drugiego takiego przypadku na świecie, ale lekarze nie mają wątpliwości – 13-letni obecnie chłopiec jest wolny od DIPG. Pojawia się kluczowe pytanie: co takiego wydarzyło się w jego organizmie, że wyzdrowiał?
Naukowcy wciąż próbują dowiedzieć się, dlaczego niektórzy pacjenci lepiej reagują na leczenie niż inni i to prawdopodobnie profile molekularne nowotworów odgrywają tu kluczową rolę. Guz Lucasa miał niezwykle rzadką mutację, która zdaniem lekarzy sprawiła, że jego komórki były znacznie bardziej wrażliwe na lek.
Czytaj też: Szczepionki przeciwnowotworowe będą skuteczne? Wystarczy prosty trik
Projekt BIOMEDE zakończył się w 2019 r. i na podstawie zebranych wyników, naukowcy wybrali ewerolimus jako lek wiodący do projektu BIOMEDE 2.0, który rozpoczął się we wrześniu 2022 r. Uczeni tworzą w warunkach laboratoryjnych organoidy nowotworowe, które odzwierciedlają strukturę genetyczną nieprawidłowości tkankowych występujących u pacjentów. Ta wnikliwa obserwacja może pomóc wypatrzeć piętę achillesową glejaka i pozwolić na opracowanie skutecznych metod leczenia.
Mimo że przypadek Lucasa jest fascynujący, lekarze studzą optymizm. Do opracowania skutecznego leku na DIPG wciąż droga daleka, a w ogóle nie ma pewności, że takowy powstanie. Dużym postępem byłoby wyleczenie drugiego dziecka, ale na razie nie ma o tym żadnych sygnałów.

