Transgeniczne świnie od dawna są rozważane jako potencjalne źródło organów do przeszczepów u ludzi. Mimo znacznych postępów w medycynie, kolejki oczekujących na nowe serce czy nerkę nie maleją. Odpowiedzią na niekończący się popyt miały być ksenotransplantacje, czyli przeszczepy pochodzące od innych gatunków zwierząt, np. świń. Ale “obce” organy są natychmiastowo rozpoznawane przez nasz układ odpornościowy i odrzucane. Próbowano to obejść, ale z mieszanymi rezultatami.
Czytaj też: “Kompletny” ludzki embrion stworzony z komórek macierzystych. Przekroczono kolejną granicę
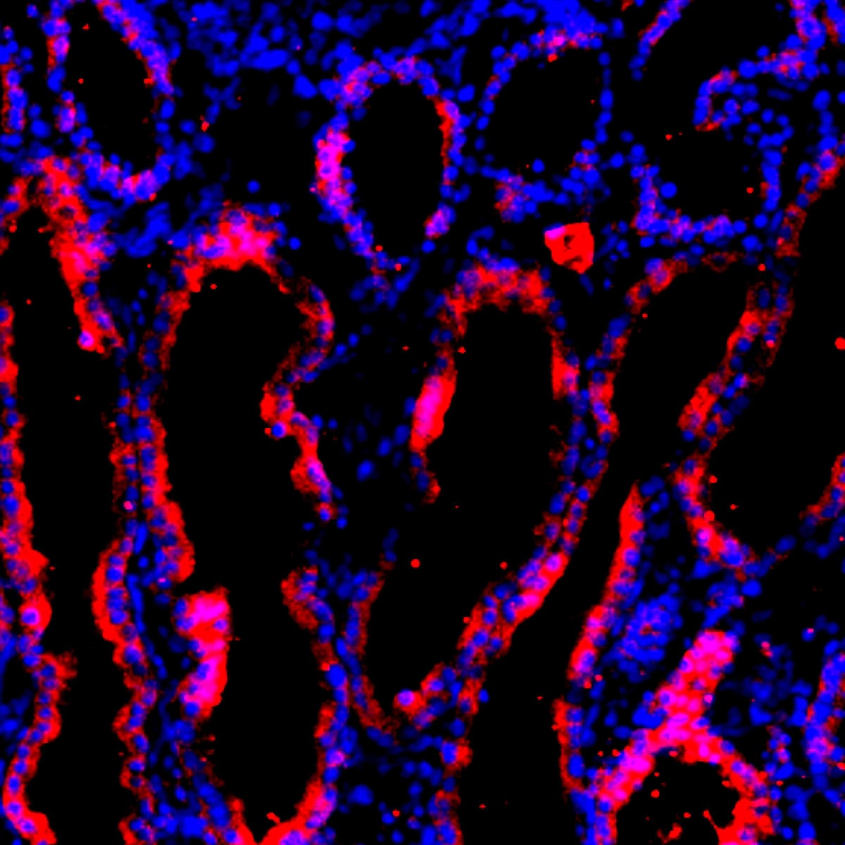
Zespół uczonych z Guangzhou Institute of Biomedicine and Health zrobił ważny krok, który może zapewnić alternatywne źródło narządów do przeszczepów – pochodzące z żywych inkubatorów. W czasopiśmie Cell Stem Cell szczegółowo opisano, jak zmodyfikowano geny zarodków świń, a następnie wstrzyknięto do nich ludzkie komórki macierzyste, które rozwinęły się w funkcjonalne nerki. To pierwszy przypadek na świecie, gdy udało się wyhodować humanizowany organ wewnątrz innego gatunku.
Nigdy wcześniej nie stworzono w ten sposób ludzkiej nerki
Świnie jako źródło organów do przeszczepów dla ludzi to temat stary jak transplantologia. W ostatnich latach przeprowadzono eksperymentalne procedury, w ramach których świńska nerka i serce zostały przeszczepione osobom ze stwierdzoną śmiercią mózgową lub pacjentom w stanie terminalnym. Lekarze chcieli sprawdzić, jak “obcy”, choć odpowiednio zmodyfikowany genetycznie organ, będzie funkcjonował w organizmie człowieka. Ale możliwe jest jeszcze inne podejście.
Czytaj też: Koniec z oczekiwaniem na przeszczep nerki! Naukowcy zmienili kluczową cechę organu
Naukowcy z University of Minnesota pod kierunkiem prof. Mary Garry w przeszłości wprowadzili ludzkie komórki macierzyste do zarodków świń, które zostały genetycznie zmienione w celu zapobiegania wzrostowi określonych tkanek. Zarodki wszczepione matce zastępczej wykorzystywały ludzkie komórki macierzyste do budowy tkanek, których same nie mogły wytworzyć. Dotychczasowe badania potwierdziły, że w ten sposób można wyhodować mięśnie i wyściółkę naczyń krwionośnych, ale nikomu nie udało się pobudzić zmodyfikowanych zarodków do wytworzenia złożonych organów, zbudowanych z różnych typów komórek. Aż do teraz.

Zespół uczonych z Guangzhou Institute of Biomedicine and Health kierowany przez dr Miguela Estebana wykorzystał najnowocześniejsze osiągnięcia z dziedziny medycyny regeneracyjnej, genetyki i embriologii. Po pierwsze, uczeni wykorzystali technikę edycję genów CRISPR/Cas9 do zmiany składu genetycznego zarodków świń, tak aby brakowało im dwóch genów niezbędnych do rozwoju nerek. Następnie naukowcy zmodyfikowali indukowane pluripotencjalne komórki macierzyste (iPSC) tak, aby przypominały wczesne ludzkie komórki embrionalne, i wstrzyknęli je do zmienionego zarodka świni. Ustalono optymalne warunki laboratoryjne i po 6-7 dniach wszczepiono lochom zarodki z humanizowanymi komórkami. Po 28 dniach rozwoju zaczęły wykształcać się w nich nerki o normalnej strukturze, a co najciekawsze, do 65 proc. całości stanowiły komórki ludzkie.
Dr Miguel Esteban mówi:
Zajęło nam to pięć lat. Zmodyfikowaliśmy genetycznie świnię, aby stworzyć przestrzeń dla komórek ludzkich do wzrostu przy mniejszej konkurencji ze strony komórek świń, a także zmodyfikowaliśmy komórki ludzkie, aby mogły przetrwać w środowisku, które nie było ich naturalnym środowiskiem.
Świnie to idealne żywe inkubatory ludzkich narządów
Nerki są najczęściej przeszczepianymi narządami u ludzi na świecie – co roku przeprowadza się ok. 80 tys. tego typu zabiegów (w Polsce nieco ponad tysiąc). Ale wciąż jest duża grupa osób, które nowego organu nie doczekuje. Dzięki badaniom dr Estebana może się to zmienić, choć wytwarzanie humanizowanych organów wewnątrz świń wymaga lat optymalizacji. Inne zespoły pracują nad stworzeniem innych ludzkich narządów w zarodkach świń, m.in. serca i trzustki.
Stworzenie ludzkiego narządu wewnątrz organizmu świni, który zostanie następnie wykorzystany do przeszczepu, ma mnóstwo zalet. Przede wszystkim byłby on zbudowany z komórek macierzystych biorcy, dzięki czemu nie zostałby odrzucony przez jego organizm, a to uwolniłoby pacjenta od dożywotniej immunosupresji, która ma swoje skutki uboczne.

Dr Miguel Esteban dodaje:
Otrzymaliśmy nerkę w środkowym stadium rozwoju, a zatem słabo rozwiniętą. Docelowo chcielibyśmy wyprodukować dojrzałe narządy ludzkie, które można by wykorzystać do przeszczepiania lub modelowania chorób, ale zajmie to trochę czasu, a w miarę postępów prawdopodobnie będziemy musieli poradzić sobie z nieznanymi teraz barierami technicznymi. Niemniej jednak uważamy, że jest to możliwe.
Hodowla narządów ludzkich u świń rodzi również kwestie etyczne. Komórki ludzkie mogą np. przedostać się do mózgów lub układów rozrodczych zwierząt, potencjalnie zmieniając ich zdolności umysłowe, a nawet dając początek plemnikom lub komórkom jajowym posiadającymi ludzkie geny. Rzeczywiście znaleziono komórki pochodzenia ludzkiego w mózgach i rdzeniach kręgowych świńskich zarodków, ale nie wykryto ich w układzie rozrodczym.
Badania na pewno będą kontynuowane, a kluczowe wydaje się sprawdzenie, czy w świńskim organizmie może wykształcić się funkcjonalna ludzka nerka w dojrzałym stadium. W ciągu najbliższej dekady powinniśmy poznać odpowiedź na to pytanie, a być może i zyskać alternatywne źródło narządów do przeszczepów.

