O szkodliwym wpływie substancji uzależniających na nasz organizm nie trzeba nikogo przekonywać, ale przez długi czas panowało przekonanie, że akurat marihuana nie niszczy płuc. Według naukowców z Uniwersytetu Ottawy jest wręcz przeciwnie. Stan zapalny dróg oddechowych i rozedma płuc są częstsze u palaczy marihuany niż u palaczy papierosów. Różnica ta może być spowodowana sposobem palenia marihuany oraz faktem, że dym z marihuany dostaje się do płuc bez filtrów. Szczegóły opisano w czasopiśmie Radiology.
Marihuana czy papierosy – co bardziej szkodzi?
Marihuana to susz pozyskiwany z roślin z rodzaju konopi, zawierający substancje psychoaktywne, stosowany dzisiaj głównie w celach relaksacyjnych i leczniczych. Marihuana jest najczęściej paloną substancją po tytoniu i jedną z najczęściej używanych substancji psychoaktywnych na świecie. W wielu krajach marihuana jest legalna, więc często sięgają po nią ludzie młodzi. Niestety, okazuje się, że nie jest ona obojętna dla naszych płuc.
Czytaj też: Czy marihuana zwiększa pożądanie seksualne? Sposób podania i rodzaj substancji kluczem
Dr hab. Giselle Revah z Uniwersytetu Ottawy mówi:
Wiemy, co papierosy robią z płucami. Istnieją jasne wyniki badań wpływu palenia papierosów na płuca. O marihuanie wiemy naprawdę niewiele, a szkoda, bo okazuje się, że jest ona dużo groźniejsza, niż mogłoby się wielu wydawać.
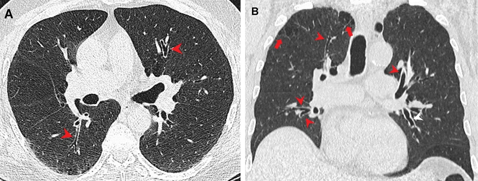
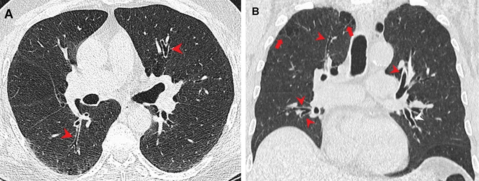
Jej zespół porównał wyniki tomografii komputerowej klatki piersiowej 56 palaczy marihuany z wynikami 57 niepalących osób z grupy kontrolnej i 33 osób zażywających tytoń. Okazało się, że 75 proc. palaczy marihuany miało rozedmę – w porównaniu do 67 proc. wśród palaczy tytoniu. Zapalenie dróg oddechowych również występowało częściej u palaczy marihuany niż tytoniu. To samo dotyczyło ginekomastii, czyli powiększenia piersi u mężczyzn, które wynika z braku równowagi hormonalnej. Wyniki były zaskakujące, zwłaszcza, że pacjenci z grupy wyłącznie tytoniowej mieli bogatą historię palenia.

Dr hab. Giselle Revah dodaje:
Fakt, że palacze marihuany – niektórzy z nich palili również tytoń – mieli gorsze wyniki zapalenia dróg oddechowych/przewlekłego zapalenia oskrzeli sugeruje, że marihuana ma dodatkowe synergiczne działanie na płuca w porównaniu z tytoniem. Ponadto, nasze wyniki były znaczące, gdy porównaliśmy grupy niedopasowane wiekowo – w tym młodszych pacjentów, którzy palili marihuanę i którzy przypuszczalnie mieli mniejszą ekspozycję na dym papierosowy w ciągu całego życia.
Szkodliwość marihuany dla płuc może wynikać z faktu, że jest palona bez filtra, co sprawia, że więcej cząstek stałych dociera do dróg oddechowych. Ponadto, marihuana jest wdychana z dłuższym wstrzymaniem oddechu niż dym tytoniowy.
Kanadyjscy uczeni wskazują, że jeden joint odkłada w płucach cztery razy więcej cząstek stałych niż jeden papieros. To prawdopodobnie one są substancjami drażniącymi nasze drogi oddechowe.
