Właśnie dzięki niemu naukowcy, którzy stoją za ustaleniami w tej sprawie, byli w stanie dostrzec zmiany w mózgach osób cierpiących na częste migreny. Jak zauważyli, przestrzenie okołonaczyniowe, zwane również przestrzeniami Virchowa-Robina, są zdecydowanie powiększone u pacjentów doświadczających przewlekłych i epizodycznych bólów głowy.
Czytaj też: Zakaz sprzedaży energetyków? Polskie władze mają podjąć decyzję
Oczywiście nie jest powiedziane, że to właśnie owe zmiany są odpowiedzialne za migreny – nie mówiąc o pełnej odpowiedzialności za tego typu bóle. Mowa jednak o cennej wskazówce, która w przyszłości mogłaby doprowadzić do udzielenia odpowiedzi na jedno z podstawowych pytań współczesnej medycyny. Tym bardziej, że silne bóle głowy potrafią bardzo utrudnić życie, często idąc w parze z zawrotami, nudnościami i światłowstrętem.
Przestrzenie okołonaczyniowe występują w centralnym regionie substancji białej mózgu bezpośrednio pod korą mózgową. Nie jest do końca jasne, za co odpowiadają, choć wiadomo, że powiększenie tych przestrzeni może zwiastować problemy.
Jako że średnio 10 procent ziemskiej populacji doświadcza migren, to wyjaśnienie ich genezy mogłoby przynieść ulgę setkom milionów ludzi. Jak do tej pory główny autor badań, Wilson Xu z Uniwersytetu Południowej Kalifornii, wraz ze współpracownikami przebadał dwadzieścia osób w wieku od 25 do 60 lat. Połowa tej grupy doświadczała regularnych bólów głowy, natomiast druga połowa – epizodycznych. W eksperymencie wzięło również udział pięć osób wolnych od migren.
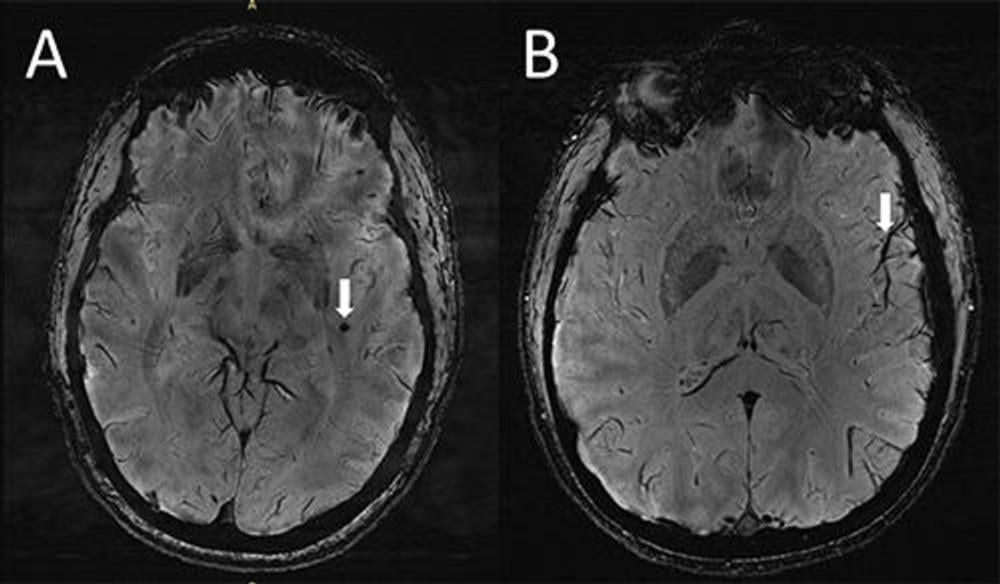
Źródło bólów migrenowych może leżeć w zmianach obejmujących przestrzenie okołonaczyniowe
Kolejny etap badań polegał na wykonaniu obrazowania metodą rezonansu magnetycznego w wysokiej rozdzielczości. Pole magnetyczne było ponad dwukrotnie silniejsze niż w przypadku większości szpitalnych urządzeń, co przełożyło się na wyższą jakość uzyskiwanych obrazów. To z kolei oznaczało możliwość dostrzeżenia zmian w mózgu, które do tej pory pozostawały niezauważone.
Do jakich wniosków doszli autorzy? Przede wszystkim przestrzenie okołonaczyniowe okazały się zauważalnie większe u osób cierpiących na migreny. Poza tym naukowcy zwrócili uwagę na zmiany określane mianem hiperintensywności substancji białej. W przypadku obu “migrenowych” grup nie było większych różnic, choć pacjenci regularnie doświadczający bólu cechowali się nieco większymi rozmiarami zmian.
Czytaj też: Lek na opóźnienie cukrzycy zaakceptowany. To przełomowa decyzja
Na obecną chwilę można się doszukiwać powiązań między funkcjonowaniem układu limfatycznego, a występowaniem bólów. Układ ten zajmuje się usuwaniem wszelkiego rodzaju odpadów z mózgu i układu nerwowego. Przestrzenie okołonaczyniowe biorą udział w tym procederze, co pozwala założyć, że jakaś forma nieprawidłowości przekłada się na występowanie migren.
.

