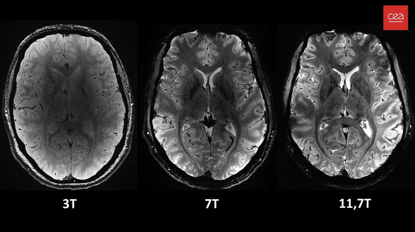
Opracowane przez Francuską Komisję Energii Jądrowej i Energii Alternatywnych (CEA) urządzenie Iseult MRI wytwarza pole magnetyczne o natężeniu 11,7 tesli (T). Dla porównania, konwencjonalne aparaty MRI powszechnie stosowane obecnie w szpitalach mają zwykle moc 1,5 lub co najwyżej 3 T.
Czytaj też: Dawali mu 9 miesięcy życia, a guz mózgu po prostu zniknął. Eksperymentalna terapia naprawdę działa
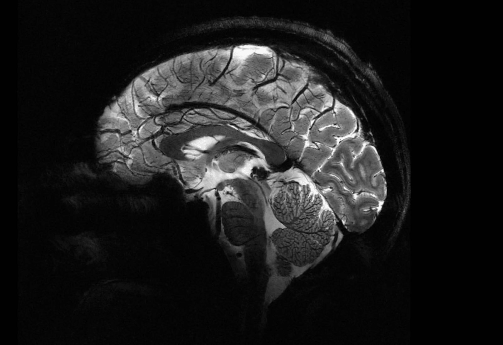
Główną zaletą dodatkowej mocy jest to, że zdjęcia mózgu o znacznie wyższej rozdzielczości można wykonywać znacznie szybciej. W ciągu zaledwie czterech minut Iseult może rejestrować obrazy tkanki mózgowej o grubości do 0,2 mm w poziomie, a w “plasterkach” o grubości zaledwie 1 mm. Aby konwencjonalne aparaty MRI mogły wykonać zdjęcia o takiej rozdzielczości, pacjenci musieliby leżeć w całkowitym bezruchu przez ponad dwie godziny – najmniejszy ruch spowodowałby rozmycie zdjęcia, a to po prostu niewykonalne.
Anne-Isabelle Etienvre, dyrektor ds. badań podstawowych w CEA, mówi:
Jesteśmy dumni, że możemy zobaczyć końcowy wynik prawie 20-letniego projektu badawczo-rozwojowego. Siła CEA leży w jego zdolności do skupiania multidyscyplinarnych zestawów umiejętności pod jednym dachem w celu zdefiniowania projektu i wykorzystania wiedzy technologicznej w zakresie magnesów nadprzewodzących opracowanych dla innych dziedzin. Neurobiolodzy, fizycy, matematycy i lekarze współpracowali zatem nad opracowaniem narzędzi i modeli, które pomogą lepiej zrozumieć, jak działają zdrowe i chore mózgi.
Ludzkie mózgi dokładne jak nigdy wcześniej
Iseult jest znacznie większy niż inne skanery MRI. Ma 5 m długości i szerokości, waży 132 tony i zawiera 182 km drutów nadprzewodzących. Aby utrzymać magnesy schłodzone do wymaganej temperatury -271,35oC, potrzeba około 7500 l ciekłego helu. Rozmiar, złożoność i koszt mogą ograniczają miejsce, w którym można zastosować aparat, więc na razie nie ma co się spodziewać, że pojawi się w każdym szpitalu. Prace rozwojowe CEA trwają, w efekcie czego sprzęt będzie stale ulepszany.
Czytaj też: Ponad 6000 skanów i wreszcie wiemy, jak wygląda ADHD w mózgu
Dobrym przykładem ukłonu w stronę pacjenta jest “otwór” o szerokości 90 cm, w który wsuwa się głowę na czas badania. Może wydawać się, że to wcale nie jest dużo, ale w porównaniu ze standardową średnicą 60-70 cm oferowaną przez skanery MRI, jest nieco mniej klaustrofobicznie.

Poziom szczegółowości osiągnięty dzięki urządzeniu Iseult MRI będzie miał wpływ na badania medyczne. Po pierwsze, niezwykle szczegółowe informacje anatomiczne będą pomocne w diagnostyce i opiece zdrowotnej w przypadku chorób neurodegeneracyjnych, takich jak choroba Alzheimera i Parkinsona.
Nicolas Boulant, kierownik projektu Iseult i dyrektor ds. badań w CEA, mówi:
Dzięki projektowi Iseult otwiera się przed nami zupełnie nowy świat i nie możemy się doczekać jego odkrywania. Potrzebujemy jeszcze kilku lat badań, aby opracować i udoskonalić nasze metody pozyskiwania danych oraz zapewnić najwyższą możliwą jakość danych. Naszym celem jest zbadanie do lat 2026–2030 chorób neurodegeneracyjnych, a także innych chorób bardziej wchodzących w zakres psychiatrii, takich jak schizofrenia i choroba afektywna dwubiegunowa.
Po drugie, aparat Iseult MRI ułatwi wykrywanie niektórych związków chemicznych o słabych sygnałach, które są trudne do uchwycenia przy niższych polach magnetycznych. Chodzi np. o lit – lek stosowany w leczeniu choroby afektywnej dwubiegunowej, a lekarze będą teraz mogli precyzyjnie ocenić jego rozmieszczenie w mózgu i lepiej ocenić skuteczność terapii. Innym przykładem są cząsteczki aktywnie biorące udział w metabolizmie mózgu, takie jak glukoza i glutaminian – takie informacje bezpośrednio przyczynią się do scharakteryzowania wielu chorób mózgu.

